业务咨询
【实验原理】
皮肤作为人体最大的器官,在抵御外界环境压力方面起着至关重要的作用。皮肤光损伤是指由于光线强度或光照时间超过皮肤的承受能力,导致的皮肤组织损伤。紫外线辐射是造成皮肤光损伤和光老化的主要因素,长期暴露于紫外线中还会导致皮肤ECM降解、DEJ功能紊乱、胶原蛋白和弹性蛋白减少、MMPs分泌增多等。紫外线导致的光损伤还表现为皮肤屏障受损、色素沉着等。此外,紫外线还可以通过氧化应激反应、DNA损伤、炎症反应和免疫抑制等机制引起皮肤光损伤。
因此,可采用紫外线照射皮肤外植体造模,通过检测样品作用后皮肤外植体后的组织形态、屏障蛋白LOR、增殖标志物Ki67、DNA损伤标志物γ-H2AX、活性氧ROS、细胞外基质的主要成分、炎症因子等指标,从多个维度评价待测样品的抵抗光损伤作用。
【评价指标】
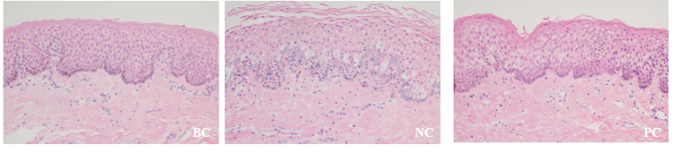
1、组织形态
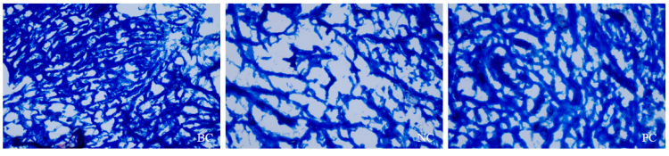
2、胶原纤维
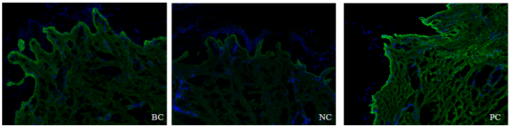
3、屏障蛋白LOR
4、增殖标志物Ki67
5、DNA损伤标志物γ-H2AX
6、I型、III型、IV型胶原蛋白
7、活性氧ROS
8、炎症因子TNF-α、IL-1α、IL-6、IL-8
【实验方案】
1、皮肤外植体组织形态、胶原纤维检测方案:
皮肤外植体获取与消毒——皮肤外植体无菌培养——紫外照射及加药处理(空白对照组:不处理;模型对照组:紫外照射;样品组:紫外照射+待测样品处理)——组织固定——石蜡包埋——切片——H&E染色、Masson染色——显微镜拍照及分析
2、皮肤外植体屏障蛋白LOR、增殖标志物Ki67、DNA损伤标志物γ-H2AX检测方案:
皮肤外植体获取与消毒——皮肤外植体无菌培养——紫外照射及加药处理(空白对照组:不处理;模型对照组:紫外照射;样品组:紫外照射+待测样品处理)——OCT包埋——冷冻切片——LOR、Ki67、γ-H2AX免疫荧光染色——荧光显微镜拍照及分析
3、皮肤外植体I型胶原蛋白、III型胶原蛋白、IV型胶原蛋白检测方案:
皮肤外植体获取与消毒——皮肤外植体无菌培养——紫外照射及加药处理(空白对照组:不处理;模型对照组:紫外照射;样品组:紫外照射+待测样品处理)——OCT包埋——冷冻切片——I型、III型、IV型胶原蛋白免疫荧光染色——荧光显微镜拍照及分析
4、皮肤外植体ROS检测方案:
皮肤外植体获取与消毒——皮肤外植体无菌培养——紫外照射及加药处理(空白对照组:不处理;模型对照组:紫外照射;样品组:紫外照射+待测样品处理)——OCT包埋——冷冻切片——ROS荧光探针染色——荧光显微镜拍照及分析
5、皮肤外植体炎症因子检测方案
皮肤外植体获取与消毒——皮肤外植体无菌培养——紫外照射及加药处理(空白对照组:不处理;模型对照组:紫外照射;样品组:紫外照射+待测样品处理)——收样——ELISA——酶标仪检测——结果分析
【结果展示】

图1 组织形态染色典型图

图2 胶原纤维染色典型图

图3 LOR荧光染色典型图

图4 Ki67荧光染色典型图

图5 I型胶原蛋白免疫荧光染色典型图

图6 ROS荧光染色典型图

图7 炎症因子ELISA检测典型图
严正声明:以上内容所涉及的核心知识产权归杭州环特生物科技股份有限公司所有。任意第三方机构或个人在未经授权的前提下抄袭、剽窃、恶意传播均属侵害我司正当权益的行为,我司不排除诉诸一切法律手段维护自身合法权益。